牙齿是我们身体的重要组成部分,从我们开始长牙起,它便一直伴随我们,牙齿的健康美丽也影响这我们的个人健康和美观。但随着我们成长,有些人的牙齿开始出现各种各样问题,例如蛀牙,牙周炎等,而有些则不得不拔除。拔牙后便要考虑镶牙,种植牙是他们首先考虑的修复方式,听说种植牙和真牙一样。那么,成都种植的牙齿真的和真牙一样吗?
成都种植的牙齿真的和真牙一样吗?成都春天牙科医生指出:人工种植牙是一种仿生牙,在选择人工种植牙时,医生根据患者失牙后牙槽骨及颌骨的变化,选用种植体植入颌骨内作为人造牙根,然后在其露出口 腔内的种植桩上安桩牙冠,获得与自体牙相似的形状及功能(并非我们的天然牙)。

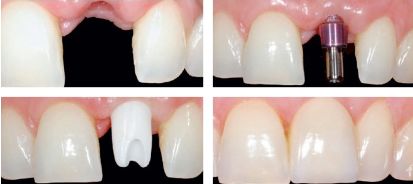
种植牙修复过程
人工种植牙的优点是:咀嚼功能大大优于传统假牙;外观形象逼真,与真牙无异,具有很强的固定力与稳定性;可少磨或不磨自己的真牙;不会产生味觉迟钝与不舒适感;体积小、美观,有利于口腔卫生。
也有人问,种植牙安全吗?当然安全,人工种植牙的五年成功率达95%,十年成功率在90%以上,也有30年以上还在完好地使用种植牙的病例。且种植牙手术失败率低于人类自身牙齿的失牙率。
但人工种植牙技术要求非常严格,故应选择医疗水平和技术可靠的正规医院,选择经验丰富,操作熟练的种植医生进行治疗。

种植技术推荐:瑞士ITI种植牙
瑞士ITI种植牙在传统的种植技术基础上进行革新,将国际上最为先进的平台转换种植新理念、纳米技术和数字全息即刻种植技术融为一体。采用全息检测及电脑设计技术,牙齿种植过程中安全、快速、精准、真正微创,同时可以保留最大数量的软组织和骨骼,有效避免了以后的牙槽骨重吸收造成种植体受力减轻,能促进牙龈健康,尤其适用于那些希望获得最佳外观效果的种植牙患者。
以上便是春天牙科医生对“成都种植的牙齿真的和真牙一样吗?”的介绍,这里,牙医要告诫各位,种植牙的确是最好的修复方法,但任何假牙都无法完全替代我们的真牙,因此,我们更应该保护好自己的天然牙。当然,如果您已经掉牙了,那么就可选择种植牙修复。另外,我院现推出种植牙“种一颗送一颗”活动,非常划算。具体活动详情,请点击在线咨询。
