牙齿的作用有多大?有多神奇?
吃饭、笑的好看,还有影响发音、健康、面容等等等等…
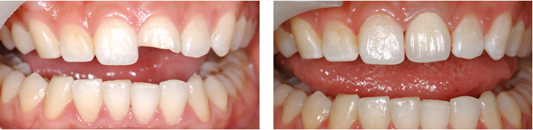
牙齿是消化器官的第一步,咀嚼是对食物的初步消化,然而牙齿缺失是一件十分痛苦的事情,不仅会导致咀嚼功能下降,还会加速面部衰老。
牙齿缺失应如何修复呢?很多医生会建议患者选择种植修复。为什么要选择种植牙?
种植牙使用寿命长
种植牙十分舒适
种植牙不需要损伤旁边的好牙齿
种植牙不需要每天摘戴
种植牙独立
种植牙美观舒适

种植牙可以用多久?理论上来说,如果牙齿保护的好,每天按时刷牙,口腔清洁到位的话,种植牙应该能够终身使用。
1、进口种植体,种1颗送1颗
2、免费口腔检查
3、免费洗牙
4、免费拍片
5、网络预约免预约挂号费
6、免费设计种植方案
7、华西种植教授亲诊