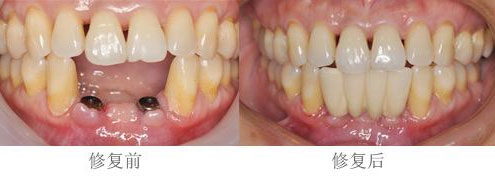
种植牙被认为是牙齿缺失的选择修复手段,是牙齿缺失者的理想选择。如果您因疾病或意外而失去了牙齿,牙医可能会推荐你采用种植牙修复。那么,成都牙齿缺失为什么选种植牙修复?
成都牙齿缺失为什么选种植牙修复?
成都春天牙科种植医生介绍,种植牙具有如下优势:
1.不损伤邻牙
烤瓷桥是牙齿缺失的传统修复方法,但需要将缺牙处两侧的健康牙磨小,十分可惜;而种植牙是在缺牙处的牙槽骨内植入种植体,以此为基础修复缺失牙,不涉及邻牙,更不会损伤邻牙。
2.稳固牢靠
种植体(即人工牙根)与牙槽骨通过骨结合连接在一起,十分坚固,不亚于人的天然牙根,可象真牙一样扎根在患者的口腔里。

3.原理更科学
天然牙将口腔内的咀嚼压力通过牙根传递至牙槽骨,而种植牙将咀嚼压力通过人工牙根(种植体)传递至牙槽骨,生物力学原理相同,故能承受强大的力量,咀嚼效率较传统假牙有大幅度提高。
而传统的烤瓷桥是通过固位体粘贴固定于缺牙间隙两侧被磨小的天然牙上,并利用天然牙作支撑和传递咀嚼压力,加重天然牙负担且影响其使用年限。
4.小巧舒适
体积小,无基托与卡环等结构,口腔内无异物感,有利于保持口腔卫生,感觉舒适,使您忘掉假牙的存在。
5.适应症更广
在全口均无牙齿或磨牙区后部全部缺失的情况下,以往只能装活动假牙,但活动假牙在美观、舒适、咀嚼功能、自洁能力等各方面均不尽如人意,而通过人工牙根的植入就可以使这些患者获得固定义齿修复。
6.有助于防止牙槽骨的吸收。
以上便是春天牙科医生对“成都牙齿缺失为什么选种植牙修复?”的介绍,希望你能帮你更多的认识种植牙。另外,我院现推出种植牙“种一颗送一颗”活动,非常划算。具体活动详情,请点击在线咨询。