牙齿缺失由哪些原因造成的?

牙齿缺失经常出现在现代人的生活中,给他们带来了很多烦恼,很多朋友都想知道牙齿缺失是怎么回事儿,牙齿缺失由哪些原因造成的?下面,我们来看看春天牙科医生怎么介绍的。

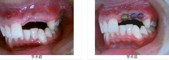
牙齿缺失原因,牙齿缺失种植牙修复

春天牙科医生表示,引起牙齿缺损的原因有很多,主要有以下几方面的原因

1、外伤引起的牙齿缺失

这种牙缺失情况通常患者的口腔健康正常,不是因为牙病变引起的牙齿脱落。通常是由于牙冠受到意外的撞击或咬硬物引起!有些牙冠存在隐裂、牙尖磨损不均导致高尖陡坡,或因龋坏造成的薄壁弱尖以及死髓牙、牙质强度下降等。也可在正常骀力下引起牙折。牙外伤轻者表现为切角或牙尖嵴局部小范围折裂,重者可出现整个牙冠折裂或冠根折断。

2、牙齿磨损

主要表现为牙冠面降低,常由不良咀嚼习惯及夜磨牙等引起。牙齿在行使正常功能时也可造成生理性的磨耗,但这种磨耗效应的积累即增龄性磨损。伴随磨损可能 有牙本质过敏、牙髓炎、牙周感染等症状。全牙列重度磨损会造成垂直距离降低,可能引起颞下颌关节功能紊乱。

3、发育畸形

牙齿发育畸形及发育异常是指在牙齿发育和形成过程中出现形态、结构或颜色异常。常见的发育畸形有釉质发育不全、氟牙症及过小牙等。

4、龋病

这类病因引起的牙齿缺失表现为牙体硬组织的变色、脱钙软化和龋洞形成,病变进一步发展可造成牙冠破坏。并可伴随牙髓充血、牙髓炎、牙髓坏死、根尖周炎、根尖 周脓肿、牙龈出血等。龋坏严重者,可造成牙冠部分或全部破坏,形成残冠、残根。

通过以上春天牙科医生对“牙齿缺失由哪些原因造成的”上述内容提供的介绍,相信您对牙齿缺失问题更多的了解,如您对牙齿缺失如何修复等问题还有疑问,您可以拨打我们的热线电话“028-68687676”进行详细咨询,春天牙科牙科医师和护士将会竭诚为您服务!

咨询华西专家 快速咨询专家

领先技术

一键通话,免费咨询 028-68687676

权威专家

近期优惠

返回首页 专家咨询 电话咨询 来院路线 在线预约