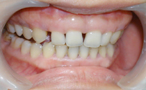
病症介绍
![]() |
牙间隙指牙齿间出现的间隙。牙齿间隙过大一是影响美观,二是影响发音,三是造成食物嵌塞,危害较大。
病因
牙间隙的原因有以下五点:一是牙体形态小,颌骨形态正常;二是先天缺牙,颌骨形态正常;三是牙体形态正常,颌骨过大;四是拔牙后不镶牙,引起近远中邻牙移位而产生间隙;五是替牙期暂时牙列间隙。
特点
牙间隙的特点是牙量小,骨量正常;或骨量大,牙量正常;或牙量小,骨量大;或软组织因素。
危害
1、影响全身健康。牙间隙使咀嚼功能降低,会增加胃肠的负担,时间长了会引起消化不良或胃肠疾病,有损身体健康。
2、影响容貌美观,使选择职业、社会交际等受到影响。
3、影响口腔正常功能,牙间隙会降低咀嚼功能,影响发音功能,使有些音发不准确。
4、对口腔健康有害。稀疏的牙齿常常咬合不正常,使面部肌肉容易疲劳,还可引起颞下颌关节疾病。
5、影响心理健康。
治疗方法
纯韩仿生美牙冠
技术介绍
纯韩仿生美牙冠技术针对个小牙、龅牙、虎牙、牙齿不齐、畸形牙以及色素牙,可彻底、快速矫正修复。具有美牙不拔牙,无痛苦,时间短,牙齿坚固,生物相容性好,牙龈不会出现黑线等优点。仅需1小时,即刻解决牙齿问题,治齿、矫齿、美齿一步到位,真正实现"立等可戴"的神话,流程透明,让美牙的过程看得见、更加放心。
技术优势
1、效果好。采用3D数码定位系统精确分析牙齿的形态以及病症,成型后的牙齿形态完美。
2、色泽自然。采用德国VITA比色技术,通过26个牙色层次化类比,色泽自然,常年保持天然的光泽。
3、质量有保障。全新科技的美容冠技术,美牙不脱落。数据分析显示,经"美牙冠"美容后的牙齿至少可以承受50公斤的拉力。美观耐用超过80年,并且没有不良反应、无黑线、无红肿。
4、高效快速。只需短短一个小时就可以轻松拥有一口靓牙。
5、改善脸型。美牙冠实现了牙齿美容与改善脸型的完美结合。
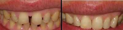
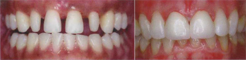
对比案例
![]() |
![]() |
常见问题
1、牙间隙是什么原因?
成都春天牙科:牙间隙的原因包括颌骨过大、拔牙后不镶牙、牙体形态小、先天缺牙等等。
2、纯韩仿生美牙冠矫正牙间隙需要多长时间?
成都春天牙科:仅需一小时即刻解决牙间隙问题,效果是非常好的。
3、美牙冠矫正牙间隙需要多少钱?
成都春天牙科:每个人的牙齿情况不同,所需要的费用也是不同的。


