病症介绍
“龅牙”是一种非常常见的牙颌面畸形,一般表现为上颌前突畸形或双颌前突畸形,并伴有严重的功能障碍,非常影响美观。
症状
龅牙常常表现为开唇露齿,自然状态下双唇不能闭拢,微笑时牙龈外露过多,强迫闭口时,下唇下方与颏部之间有明显的软组织隆起。
危害
1、龅牙影响颅颌面的发育。
2、龅牙影响口腔的健康,龅牙由于不易自洁而好发龋病及牙龈牙周炎症。
3、龅牙影响口腔功能,如前牙开颌造成发音的异常;严重下颌后缩则影响正常呼吸。
4、龅牙会造成全身危害,如因咀嚼功能降低引起消化不良及胃肠疾病。此外,由于颜面的畸形对于患者可造成严重的心理和精神障碍。
治疗方法
1、未成年人龅牙矫正首选矫正器矫正:韩式传统矫正、韩式半隐形矫正、韩式隐形正畸
2、成年人龅牙矫正首选纯韩仿生美牙冠
技术介绍
![]() |
| 韩式传统矫正 韩式半隐形矫正 韩式全隐形矫正 |
1、韩式传统矫正的金属托槽表面光滑,体积小巧,结实耐用,槽沟准确,制作精良,有助于牙齿的完美排列,托槽边缘特有的圆润化处理减少了对口腔黏膜的不良刺激。进口自锁托槽复诊时间延长至8-10周,活动翼托槽更是大大缩短了矫正疗程。
2、韩式半隐形矫正主要是以崭新的3D立体电脑技术,量身定制一系列近乎无法察觉的透明牙托来完成整个矫正疗程的一项技术,只露出中间的一条小细线,美观度好。韩式半隐形矫正,价格适中,隐形效果也好,性价比较高。
3、韩式全隐形矫正是欧洲齿科材料的巅峰之作,采用高弹性纳米材料分子,完全透明隐形,隐蔽性极好,且可以自行摘带矫正器,方便清洁,矫治疗程缩短将近三分之一的时间。可以实现隐形矫牙的梦想,毫无察觉间让牙齿“悄然”变美。
4、纯韩仿生美牙冠技术针对个小牙、龅牙、虎牙、牙齿不齐、畸形牙以及色素牙,可彻底、快速矫正修复。具有美牙不拔牙,无痛苦,时间短,牙齿坚固,生物相容性好,牙龈不会出现黑线等优点。仅需1小时,即刻解决牙齿问题,治齿、矫齿、美齿一步到位,真正实现“立等可戴”的神话,流程透明,让美牙的过程看得见、更加放心。
对比案例
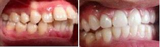
![]() |
(韩式传统正畸) |
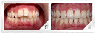
![]() |
(韩式半隐形正畸) |
![]() |
(韩式隐形矫正) |
![]() |
(纯韩仿生美牙冠) |
常见问题
1、矫正龅牙需要多少钱?
成都春天牙科:每个的牙齿情况不同,所采用的矫正方法也不同,因此费用也是因人而异的。点击咨询具体价格
2、龅牙矫正哪种方式比较好?
成都春天牙科:龅牙矫正的方法有很多,选择适合自己的矫正方式才能达到比较好的效果。想了解适合自己的矫正方式,可点击咨询医生,让医生为您量身定制矫正方案。
3、纯韩仿生美牙冠矫正龅牙需要多长时间?
成都春天牙科:纯韩仿生美牙冠矫正龅牙仅需1小时。




