项目介绍
传统正畸是指通过传统牙套固定矫正牙齿,其原理是对不整齐的牙齿施以温和而持久的生物力,即每平方厘米20~26克的力值,既可完成牙齿的移动又不损害牙齿及其周围组织的健康。
适应症
个别牙错位、牙列拥挤、牙齿不整齐、牙间隙、前牙反合、地包天、暴牙、虎牙等各种牙齿问题都可以通过传统正畸来解决。
韩式传统正畸制作精良效果显著
韩式传统正畸的金属托槽表面光滑,体积小巧,结实耐用,槽沟准确,制作精良,有助于牙齿的完美排列,托槽边缘特有的圆润化处理减少了对口腔黏膜的不良刺激。进口自锁托槽复诊时间延长至8-10周,活动翼托槽更是大大缩短了矫正疗程。
技术优势
1、尖端材料:采用世界百年名牌美国3M公司原装进口矫治系统。外形小巧美观,易于清洁,高效。
2、省时便捷:缩短正畸疗程近三分之一时间,复诊间隔时间延长为8-12周,为患者大大节省了时间。
恢复时间
佩戴矫正器1-2年,具体视情况而定。
注意事项
1.牙齿正畸治疗的疗程较长,一般为1-2年。因此,患者要有充分的思想准备,不能急于求成,要尽量避免半途而废;
2.患者戴上矫治器后,会有轻度疼痛、酸胀等不舒服的感觉,对矫治器也不适应,这是正常现象。需要一段时间的适应过程;
3.注意不能吃过硬、过粘的食物,前牙也不能直接啃咬硬的食物,以防损坏矫治器;
4.保持良好的口腔卫生非常重要,所以必须坚持早晚和饭后认真刷牙。
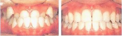
对比案例


常见问题
1、传统正畸后会不会痛?
成都春天牙科医生:牙齿正畸是通过外力使牙齿排列整齐,会有一点不会舒服,特别是刚戴矫正器有点不适应,牙齿会有酸痛感,这种感觉基本上是轻微的,常人都可以忍受的。
2、传统正畸需要拔牙吗?
成都春天牙科医生:一般情况下是不需要拔牙的,当牙齿严重拥挤(拥挤程度达8毫米以上)时需要拔掉一颗牙齿,给其它牙齿留下空间去矫治,这样才能达到更好的效果。
3、成年人的牙齿畸形也能采用传统正畸吗?
成都春天牙科医生:成年人牙齿畸形虽错过了比较佳矫治时间,但也可以通过传统正畸来矫正牙齿,但矫正的时间