隐形矫正

项目介绍

隐形矫正又叫"隐形无托槽矫正",是牙齿矫正方式的一种。隐形无托槽矫正因其没有传统矫治过程中的钢丝和托槽,不影响美观等突出优点而广受美齿者青睐。

适应症

个别牙错位、牙列拥挤、牙齿不整齐、牙间隙、前牙反合、地包天、暴牙、虎牙等各种牙齿问题都可以通过隐形矫正来解决。
韩式隐形正畸隐形矫正不是梦
韩式隐形正畸是欧洲齿科材料的巅峰之作,采用高弹性纳米材料分子,完全透明隐形,隐蔽性极好,且可以自行摘带矫正器,方便清洁,矫治疗程缩短将近三分之一的时间。可以实现隐形矫牙的梦想,毫无察觉间让牙齿"悄然"变美。

技术优势

1、国际领先的纳米透明隐形材料
牙齿矫正矫治器采用纳米技术研制,材料小巧迷你,透明无色。在使用过程中不易沾染食物、不易变色等特点,为你去除牙箍的烦恼。
2、业内超低的拔牙率(3%以下)
与行业50%的拔牙率相比,牙博士口腔凭借纯正的韩式技术,将拔牙率控制在3%以下。
3、全球领先的四维精密矫正技术
韩式矫正技术运用四维矫正技术,不仅能做到立体化矫正,而能随时间变化与矫正角度的完美结合,不断改善脸型特征。
4、牙齿矫正和脸型的完美结合
成都春天牙科使用韩式四维矫正技术指定牙齿矫正过程,结合三庭五眼,制成科学理想的矫正过程,以保证达到理想预定效果。
5、全程安全舒适无异物感
相对传统矫正治疗,受术者采用牙博士韩式矫正技术过程更轻松舒适,避免使用矫治器出现的异物感和其他不适。
6、高效快捷缩短一半矫正时间
无托槽隐形矫正治疗相对传统矫正治疗时间更短,复诊间隔次数更少,比传统矫正缩短一半的时间。

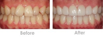
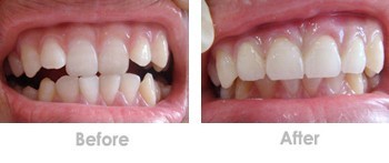
对比案例


常见问题

1、隐形牙齿矫正需要多少钱?
成都春天牙科医生:每个人的牙齿情况不同,所适合的矫正方式不同,因此费用也是不同的。
2、隐形矫正器跟传统矫正器有什么区别?
成都春天牙科医生:不仅使用方便,在清洁牙齿的时候只需将透明牙套取下即可,可避免传统正畸技术因清洁不到位造成后期牙色不一样等等状况,其不易被人察觉的特点,还可省去孩子被套上"钢牙妹"或"钢牙小弟"的不雅绰号,让孩子在自信与漂亮中完成矫正,可谓是一举两得。
3、隐形矫正器怎么清洁?
成都春天牙科医生:每天早上、睡前彻底清洁矫正器和牙齿,如果不佩戴,需将牙齿矫正器放在清水中。

咨询华西专家 快速咨询专家

领先技术

一键通话,免费咨询 028-68687676

权威专家

近期优惠

返回首页 专家咨询 电话咨询 来院路线 在线预约