暑假是孩子矫正牙齿的好时机。但不少传统观念认为“只有12岁后才能矫牙”,这让很多父母纠结、犹豫。成都春天牙科医生告诉家长们:“传统观念有顾及儿童尚处发育期的合理考虑,但遵循现代临床医学科学规律分析,20种牙颌畸形或异常必须在12岁前发现即矫正”。
反(牙合),俗称“地包天”,即下排牙齿包住上排牙齿。严重影响面容美观,导致吃饭,咀嚼功能下降,加重胃肠负担,从而影响身体健康。有时候还会影响发音,受到嘲笑,影响心理健康。
反(牙合)

个别牙反(牙合),即个别门牙或两颗牙反(牙合),危害极大。会影响上面部的正常发育,上唇部凹陷。而且,其潜在的危害是,比较有可能导致儿童成长到30至40岁时出现颞下颌关节紊乱病。
个别牙反(牙合)

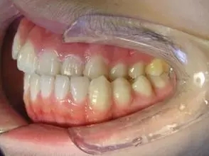
偏颌。由于一边的牙齿龋坏或缺失等原因,长期用另外一边吃东西或其他原因,导致双侧脸型不对称,严重影响孩子的心理健康和自尊心。
偏(牙合)

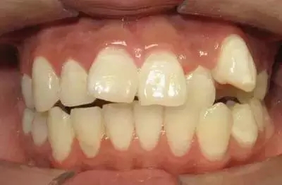
严重的大龅(暴)牙。

龅牙患者非常不自信,因此不敢与人交流,不敢笑,极大程度影响了学业和社交,有的孩子变得自卑,也应及时矫正。
下颌后缩。下巴发育不足,小下巴,俗称鸟嘴。影响面部美观,同时因为下排牙齿排列过窄,限制了上排牙齿的发育,也影响功能。
替牙期严重的牙齿拥挤。替牙期一般轻度拥挤可观察,暂不处理;严重者,表现为个别或多个牙齿在各个方向的错位;而且牙齿拥挤也妨碍局部牙齿的清洁而好发蛀牙、牙龈炎等。
1.乳牙早失。乳牙没到替换时间就过早脱落,会使局部颌骨发育不足,缺牙的位置可因邻牙移位导致部分甚至全部被占据,以致恒牙错位萌出或埋伏阻生而形成牙颌畸形。
2.乳牙滞留。乳牙到了替换时间仍未脱落退位,导致后继接班的恒牙萌出受阻,出现萌出顺序异常、或错位萌出、或埋伏阻生,造成牙齿排列及咬合不正。
3.睡眠时张口呼吸。此症多由于鼻腔堵塞或腺样体肥大等原因造成鼻呼吸不畅,会引起唇外翻和唇短而厚、上腭高拱脸变窄、前突、长面型、下巴后缩及后牙咬不拢。
4.多生牙。口腔内特别是上门牙间有多余的牙齿。多生牙多为畸形牙,它们占据了正常牙的位置,致使这些正常的牙齿出现错位或萌出障碍。
5.恒牙不萌出或埋伏阻生。阻生牙是指牙齿部分萌出或完全不能萌出,并且以后也不能萌出的牙。儿童期门牙多见。可通过助萌或牵引等方法改善。
6.睡眠时打鼾。打鼾由于鼻腔阻塞,呼吸方式不正确,上下牙齿咬合不正确,久之会导致面部畸形,如面部狭长、下牙外露、开唇露齿等,严重影响孩子的外貌。
7.蛀牙不及时修补。乳牙因为蛀牙导致所占据的位置变小,会使恒牙萌出时没有足够的位置,因此出现拥挤和不齐,甚至影响继承恒牙的替换和萌出。因此乳牙烂了一样要补。
8.唇系带异常。唇系带附着于上排中间两颗门牙之间的外侧牙龈和牙槽粘膜之间,如果随着年龄增长,孩子的系带没有随之退缩,就会导致上门牙之间出现较大的缝隙。
9.舌系带异常。先天性发育异常。舌系带过短,使舌的正常活动受到限制,严重者舌头不能伸长到口外,或不能接触上唇。影响吮乳、音语和发音。
10.唇腭裂术后。唇腭裂术后并非万事大吉,还必须需要进行长达数年的系列正畸治疗,以比较大限度的获得良好的外貌和生理功能。
11.不良唇习惯。包括咬下唇、吮吸下唇、下唇兜上唇等。这会造成上唇过短、开唇露齿及下唇内陷。
12.不良吮指习惯。儿童3岁后仍持续存在吮吸手指行为,会造成前牙咬不拢、儿童上下门牙前突等畸形,严重者可能影响到上下骨骼发育而造成面部畸形。
13.不良舌习惯。伸舌、吐舌、舐舌、顶舌等都是不良舌习惯,会造成牙齿向外错位、前突、牙缝、牙齿咬不拢或者地包天等,必须及时纠正。
14.恒牙早失。儿童生长的个恒磨牙,即大臼齿。每个人上下左右各1个共4个。一般情况下此牙在六岁左右萌出,故俗称为“六龄齿”。“六龄齿”龋坏率比较高,拔除的比例和罹患其它牙病的发生率均比其它牙高。从功能上说该牙又是比较重要的大臼齿,失去六龄牙易致牙齿排列不齐,而且矫治难度会加大很多,因此要特别重视“六龄齿”的保护。
以上就是春天牙科对“12岁前必须处理的20种儿童牙颌畸形”的简单介绍,通过阅读文章,相信您对这些都有了一定的了解,如果您还有关于牙齿方面的疑问,欢迎点击我们的在线医生,或者直接拨打我们的免费热线电话028-68687676,春天牙科的医生将为您耐心解答。