美牙冠在市场上又称美容冠,广泛流行于欧美日韩,是一种新兴的牙齿美容技术。美在不损伤牙齿、牙龈的前提下根据牙槽骨的形态对牙齿做修整,再套以整齐同色的美牙冠。具有美牙不拔牙,无痛苦,时间短,牙齿坚固,多年后牙龈不会出现黑线等优点,针对成人,对龅牙、排列歪斜牙、畸形牙以及色素牙,可彻底、快速矫正修复,无需拔牙,全程无痛。
美牙冠的优势:
1、不损伤原牙
美牙冠根据牙槽骨的形态对牙齿做修整,仅对不整齐的凸出部位进行精细打磨,无需拨牙,不损伤牙齿、牙龈。
2、高度仿生与仿真
在牙齿的形态、色泽、功能、结构、相容性等各个方面完全比照真牙研究而成,在结构上与真牙的牙釉质、牙本质完全相同。
3、坚固耐磨,终生美齿
采用仿生瓷、纳米瓷、与生物瓷融合而成,具有高机械强度、高硬度、高耐磨性、高耐腐蚀性等优点,与原牙紧密贴合,坚固耐磨,如能按医嘱进行保养,可相伴终生。
4、无不良反应
由于采用仿生材质不会出现牙龈红肿、黑线等不良现象。
美牙冠的种类:
美牙冠按种类上分为全瓷美牙冠和仿生美牙冠。
美牙冠是由全瓷材料组成,医生根据患者牙齿的颜色精确比对调配,因放置在口腔内牙龈周围不会有难看的黑线出现,在任何场合的灯光下面也不会透出你牙齿的本来面目,美观效果极佳,因此,全瓷美牙冠是一种很不错的修复牙齿的方法。
仿生美牙冠采用环保纳米材质,更多融入了仿生设计理念,在注重牙齿美观的前提下更强调牙齿结构天然、完整,与口腔各部分的高度兼容,塑造与真牙一样具有优良咀嚼机械性能的牙齿。与传统方式相比,纳米仿生美容冠具有不拔牙、无痛苦、牙齿坚固、多年后牙龈不出现黑线、与牙龈高度兼容,与真牙无二等优势。
影响美牙冠效果的核心因素:
1、品质材料
美牙冠不同材质其机械性能、物理性能、化学性能、生物相容性、美观性等都有很大区别。同时,材质上也区分国产和进口,品质材料好效果更耐磨持久美观,可省去了后期可能修复的费用。
2、制作设备
制作美牙冠的设备普通的几万元,而进口的要上百万,因此对美牙冠成型的牢固耐磨以及颜色的匹配度上均有差异。
3、医师技术
医师不仅要精通口腔的治疗,也要有较强的审美理念、还有赖于临床医师的修复理论支撑,规范的操作,正确的设计,和技师的密切配合等。
4、医院资质
患者往往忽视了口腔诊所、口腔治疗机构与口腔美容机构的差异,一个的美齿机构,在硬件投入和软件建设上都非常重视的,一套综合的牙齿美容设备就是几百万,在医院的技术、质量、信誉、服务也不尽相同。
纯韩仿生美牙冠,黄金美齿新法则
纯韩仿生美牙冠是牙博士口腔独家引进的韩国YE牙科集团比较、比较成熟、比较具国际品质的技术之一,该技术以YE独有的3-3-4-4黄金美齿法则独步国际齿科美容界,具有快速正畸、让美齿、矫齿、治齿一步到位的功效。具有美牙不拔牙,无痛苦,时间短(只需7天),牙齿坚固,牙龈不会出现黑线等优点,从而达到终生有保障的美牙效果。
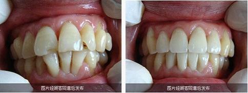
对比案例


常见问题
1、纯韩仿生美牙冠的寿命?
成都春天牙科:美牙冠的使用寿命与手术质量、材料设备以及术后护理有关,纯韩仿生美牙冠是目前比较新锐的美牙冠技术,具有高耐磨、相容性好、美观度仿生持久等优点,在医师的医嘱下可相伴一生。
2、做纯韩仿生美牙冠需要多少天?
成都春天牙科:纯韩仿生美牙冠的医治时间短,前后仅需来院两次,7天就可以轻松拥有一口靓牙。
3、纯韩仿生美牙冠是不是无痛?
成都春天牙科:纯韩仿生美牙冠采用WAND无痛技术,美牙不需动及牙齿根部,整个过程轻松无痛。