病症介绍
虎牙是一种常见的牙齿畸形,也叫犬齿,是指上颌的两颗单尖牙,在十二三岁时向外毗出,很像老虎口角的牙齿,故谓虎牙。
症状
虎牙牙体粗壮,牙根深长,外形象锋利的尖刀,独具撕裂食物的作用。而且它们的抗病能力顽强,不易龋坏。虎牙会影响唇的活动和美观,但拔掉虎牙后口角和鼻翼就显得往下踏,表情呆板,给人以早衰而平瘪的感觉。
危害
1、虎牙是口角的支撑点,排列在嘴角两边的转弯处,支撑着嘴唇保持面部的丰满。而虎牙过部外露,则会显得脸大而方,有的甚至还会引起面部不协调,不够丰满。
2、若虎牙缺失会引起上嘴唇塌陷,影响面容。
治疗方法
1、未成年人虎牙矫正首选矫正器矫正:韩式传统矫正、韩式半隐形矫正、韩式隐形正畸
2、成年人虎牙矫正首选纯韩仿生美牙冠
技术介绍
![]() |
||
| 韩式传统矫正 | 韩式半隐形矫正 | 韩式全隐形矫正 |
1、韩式传统矫正的金属托槽表面光滑,体积小巧,结实耐用,槽沟准确,制作精良,有助于牙齿的完美排列,托槽边缘特有的圆润化处理减少了对口腔黏膜的不良刺激。进口自锁托槽复诊时间延长至8-10周,活动翼托槽更是大大缩短了矫正疗程。
2、韩式半隐形矫正主要是以崭新的3D立体电脑技术,量身定制一系列近乎无法察觉的透明牙托来完成整个矫正疗程的一项技术,只露出中间的一条小细线,美观度好。韩式半隐形矫正,价格适中,隐形效果也好,性价比较高。
3、韩式全隐形矫正是欧洲齿科材料的巅峰之作,采用高弹性纳米材料分子,完全透明隐形,隐蔽性极好,且可以自行摘带矫正器,方便清洁,矫治疗程缩短将近三分之一的时间。可以实现隐形矫牙的梦想,毫无察觉间让牙齿“悄然”变美。
4、纯韩仿生美牙冠技术针对个小牙、龅牙、虎牙、牙齿不齐、畸形牙以及色素牙,可彻底、快速矫正修复。具有美牙不拔牙,无痛苦,时间短,牙齿坚固,生物相容性好,牙龈不会出现黑线等优点。仅需1小时,即刻解决牙齿问题,治齿、矫齿、美齿一步到位,真正实现“立等可戴”的神话,流程透明,让美牙的过程看得见、更加放心。
对比案例
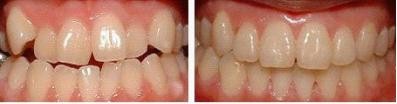
![]() |
(韩式传统正畸) |
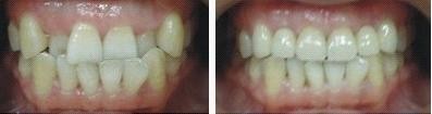
![]() |
(韩式半隐形正畸) |
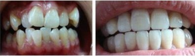
![]() |
(韩式隐形矫正) |
![]() |
(纯韩仿生美牙冠) |
常见问题
1、虎牙为什么不能拔?
成都春天牙科医生:虎牙决不能随便拔除,因为上颌尖牙在口腔中起着其他牙无法代替的作用。首先,尖牙是口腔中存留时间比较长的牙,它不易患病,牙根长而坚固。它的牙尖锐利有力,在咀嚼中起撕碎食物的作用。其次,尖牙排列在嘴角两边的转弯处,支撑着嘴唇保持面部的丰满。若尖牙缺失会引起上嘴唇塌陷,影响面容。
2、矫正虎牙需要多少钱?
成都春天牙科医生:每个的牙齿情况不同,所采用的矫正方法也不同,因此费用也是因人而异的。
3、虎牙矫正哪种方式比较好?
成都春天牙科医生:虎牙矫正的方法有很多,选择适合自己的矫正方式才能达到比较好的效果。想了解适合自己的矫正方式,可点击咨询医生,让医生为您量身定制矫正方案。




