病症介绍
氟斑牙又称氟牙症或斑釉牙,此症具有地区性,是一种典型的地方病,为慢性氟中毒病早期比较常见而突出症状。
氟主要损害釉质发育期牙胚的造釉细胞,因此过多的氟只有在牙齿发育矿化期进入机体,才会形成氟斑牙。若在6、7岁之前,长期居住在饮水中氟含量高的地区,即使日后迁往他处,也不能避免以后萌出的恒牙受累;反之如7岁后才迁入高氟区者,则不易出现氟斑牙。
症状

轻、中、重度氟斑牙表现
白垩型(轻度):牙面失去正常光泽,出现不透明斑块;
变色型(中度):牙面出现黄色、黄褐或棕褐色;
缺损型(重度):除上述改变以外,牙面还出现浅窝或坑凹状缺损,或因磨损使牙失去正常外形。
危害
1、氟牙症一般均见于恒牙,但如氟摄入量过多,也会不规则地表现在乳牙上。
2、氟斑牙是色素牙的一种,一般而言呈黄色。在同一时期萌出的釉质上有白垩色到褐色的斑块,严重者还并发有釉质的实质缺损。
3、对摩擦的耐受性差,但对酸蚀的抵抗力强。
治疗方法
1、轻度氟斑牙首选美国Beyond蓝光美白。
2、中、重度氟斑牙首选纯韩仿生美牙冠、瓷贴面。
技术介绍
1、美国Beyond蓝光是好莱坞明星及政商要员及高端人士的美白首选,在欧美,已有超过4百万人用蓝光美白技术美白牙齿,它被称为效果比较好的午休美容项目,美白效果更直接更持久,并迅速在日韩、中国普及。仅需30分钟,其效果可提高5~15个vita色阶,能有效地抑制牙菌斑的形成。它的优势在于无刺激、保护牙齿,美白效果持久。
2、纯韩仿生美牙冠适用于重度黑黄牙,四环素牙,氟斑牙,仅需一小时,即刻解决牙齿黑黄问题。采取美牙冠的方法,不仅可以改变牙齿的颜色,如果牙齿不整齐,还可以把牙齿排列整齐,使牙齿变得美白光滑,且没有后遗症。纯韩仿生美牙冠优势在于效果好,牙齿色泽自然,并且可以改善脸型。
3、瓷贴面是指在不磨牙或少磨牙的情况下,应用粘接材料,将薄层瓷修复体固定于患牙唇、颊面,以恢复影响美观的缺损、遮盖变色等缺陷的一种修复方法。因其对牙髓刺激小,颜色稳定、美观,具有良好的生物相容性、耐磨损,不易着色等特点,易被患者接受。
对比案例
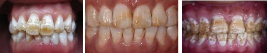
![]() |
(蓝光美白效果) |
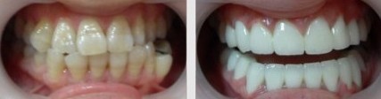
![]() |
(纯韩仿生美牙冠效果) |
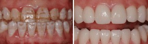
![]() |
(瓷贴面效果) |
常见问题
1、氟斑牙美白要多少钱?
成都春天牙科医生:每个的牙齿情况不同,所采用的氟斑牙治疗方法也不同,因此氟斑牙美白的费用也是不同的。
2、氟斑牙越早治疗效果越好吗?
成都春天牙科医生:是的,氟斑牙一般都会对牙表面的釉质形成损坏,从而加速了"牙齿矿化"的发展,如果不注意控制的话,很容易导致牙体过敏和牙齿脆化。
3、氟斑牙美白需要多长时间?
成都春天牙科医生:氟斑牙美白的方式不同,所需要的时间也是不同的,例如蓝光美白仅需30分钟,纯韩仿生美牙冠仅需1小时。


