病症介绍
老鼠牙也叫过小牙或小个牙,英文是:mousetooth,学名为“牙本质发育不全”。老鼠牙是一种牙本质发育异常的常染色体显性遗传疾病,可以在一个家族中连续几代出现,男女都可以出现。患上这种病后,牙齿变化主要表现在牙本质,而牙釉质基本正常。孩子的乳牙、恒牙都可能受到侵犯,而乳牙的病损更加严重。
症状
老鼠牙多发生在侧切牙,与遗传因素有关。其形态多为锥形,且明显小于正常的侧切牙,有碍美观,有时也影响发音和切咬功能。
危害
1、老鼠牙会严重影响一个人的容貌、气质。其不仅对唇型、脸型会产生影响,而且还会让人因为牙齿排列不整齐而不够自信、不敢笑。
2、在有老鼠牙的情况下,牙面凹凸不平、牙与牙之间的不良接触关系,形成了不易清洁区,很容易滞留牙菌斑、食物残渣。从而导致牙龈炎、牙结石、牙面色素沉着、口臭、龋坏等口腔疾病。
治疗方法
1、未成年人老鼠牙矫正首选矫正器矫正:韩式传统矫正、韩式半隐形矫正、韩式隐形正畸
2、成年人老鼠牙矫正首选纯韩仿生美牙冠
技术介绍

韩式传统矫正 韩式半隐形矫正 韩式全隐形矫正
1、韩式传统矫正的金属托槽表面光滑,体积小巧,结实耐用,槽沟准确,制作精良,有助于牙齿的完美排列,托槽边缘特有的圆润化处理减少了对口腔黏膜的不良刺激。进口自锁托槽复诊时间延长至8-10周,活动翼托槽更是大大缩短了矫正疗程。
2、韩式半隐形矫正主要是以崭新的3D立体电脑技术,量身定制一系列近乎无法察觉的透明牙托来完成整个矫正疗程的一项技术,只露出中间的一条小细线,美观度好。韩式半隐形矫正,价格适中,隐形效果也好,性价比较高。
3、韩式全隐形矫正是欧洲齿科材料的巅峰之作,采用高弹性纳米材料分子,完全透明隐形,隐蔽性极好,且可以自行摘带矫正器,方便清洁,矫治疗程缩短将近三分之一的时间。可以实现隐形矫牙的梦想,毫无察觉间让牙齿“悄然”变美。
4、纯韩仿生美牙冠技术针对个小牙、龅牙、虎牙、牙齿不齐、畸形牙以及色素牙,可彻底、快速矫正修复。具有美牙不拔牙,无痛苦,时间短,牙齿坚固,生物相容性好,牙龈不会出现黑线等优点。仅需1小时,即刻解决牙齿问题,治齿、矫齿、美齿一步到位,真正实现“立等可戴”的神话,流程透明,让美牙的过程看得见、更加放心。
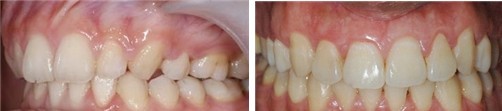
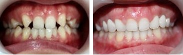
对比案例
![]() |
(韩式隐形矫正) |
![]() |
(纯韩仿生美牙冠) |
常见问题
1、哪些原因会导致老鼠牙?
成都春天牙科医生:老鼠牙与遗传因素有关,吮手指、咬铅笔、托腮沉思等不良习惯也会导致老鼠牙。
2、23岁,长有老鼠牙怎么办?
成都春天牙科医生:成年人矫正老鼠牙的比较佳方法便是纯韩仿生美牙冠,仅需1小时即刻塑造整齐牙齿,更多问题点击在线咨询医生。
3、矫正老鼠牙需要多少钱?
成都春天牙科医生:每个的牙齿情况不同,所采用的矫正方法也不同,因此费用也是因人而异的

