病征介绍

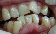
畸形牙是指在生长发育过程中由先天的遗传因素或后天的环境因素造成的牙齿、颔骨、颅面的畸形。比较常见的畸形牙有牙齿排列不齐、上牙前突、下巴前翘、嘴巴歪偏等等。
病因
1、乳牙早失:会出现间隙不足,产生拥挤错位。
2、多生牙:多生牙能引起牙、颌系统的形态动能紊乱,中切牙间多生牙可导致中切牙间隙的形成等。
3、先天性缺失牙:多为发育和胚胎原因,第三磨牙的缺失多为种系发生的退化现象。
4、乳牙滞留:个别牙逾期不脱落为乳牙滞留,可导致继替恒牙萌出被阻而呈埋伏,或错位萌出。
5、乳尖牙磨耗不足:因为儿童吃的食物过软,所以有的乳尖牙不如其他牙齿磨耗多,因而高出牙弓牙面,产生早接触,造成前方或侧方移动,形成反牙。
危害
1、影响面容美观。
2、牙齿不齐容易导致刷牙刷不干净,所以容易长龋齿和牙石,影响牙齿和牙周健康。
3、因为上下咬合关系不好,会影响吃饭,咀嚼功能下降,加重胃肠负担,从而影响身体健康。
4、有时候还会影响发音。
5、有些少年儿童因为牙齿长得不好看,受到同学或小伙伴的嘲笑,因而变得自卑,影响心理健康。
治疗方法
纯韩仿生美牙冠
技术介绍
纯韩仿生美牙冠是牙博士口腔独家引进的韩国YE牙科集团比较、比较成熟、比较具国际品质的技术之一,该技术以YE独有的3-3-4-4黄金美齿法则独步国际齿科美容界,具有快速正畸、让美齿、矫齿、治齿一步到位的功效。具有美牙不拔牙,无痛苦,时间短(只需7天),牙齿坚固,牙龈不会出现黑线等优点,从而达到终生有保障的美牙效果。
技术优势
1、不损伤原牙
美牙冠根据牙槽骨的形态对牙齿做修整,仅对不整齐的凸出部位进行精细打磨,无需拨牙,不损伤牙齿、牙龈。
2、高度仿生与仿真
在牙齿的形态、色泽、功能、结构、相容性等各个方面完全比照真牙研究而成,在结构上与真牙的牙釉质、牙本质完全相同。
3、坚固耐磨,终生美齿
采用仿生瓷、纳米瓷、与生物瓷融合而成,具有高机械强度、高硬度、高耐磨性、高耐腐蚀性等优点,与原牙紧密贴合,坚固耐磨,如能按医嘱进行保养,可相伴终生。
4、无不良反应
由于采用仿生材质不会出现牙龈红肿、黑线等不良现象。
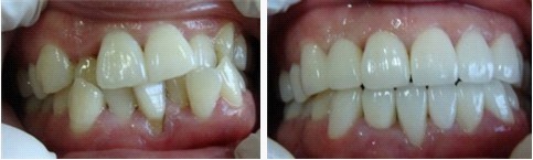
对比案例
![]() |
|
![]() |
常见问题
1、畸形牙矫正需要多少钱?
成都春天牙科:每个人的牙齿情况不同,所需要的矫正费用也是不同的
2、纯韩仿生美牙冠矫正畸形牙可以一劳永逸吗?
成都春天牙科:纯韩仿生美牙冠可彻底、快速矫正修复畸形牙,具有美牙不拔牙,无痛苦,时间短,牙齿坚固,生物相容性好,牙龈不会出现黑线等优点,因此能达到终身的美牙效果。
3、纯韩仿生美牙冠矫正畸形牙会不会痛?
成都春天牙科:纯韩仿生美牙冠采用WAND无痛技术,美牙不需动及牙齿根部,整个过程轻松无痛。

